Dr. Philip A Gentry, DDS, FAGD
Dr. Jeanette Coutin-Gentry, DDS
Dr. Lizz Gentry, DDS

1831 Wilson Boulevard
Arlington, Virginia 22201

703-522-7733
Celebrating 35 years of happy healthy smiles! 1989 - 2024


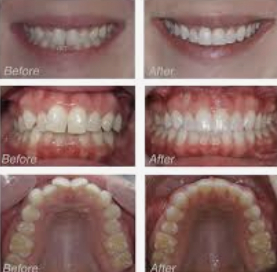
Invisalign

Invisalign takes a modern approach to straightening teeth, using a custom-made series of aligners created for you and only you. These aligner trays are made of smooth, comfortable and virtually invisible plastic that you wear over your teeth. Wearing the aligners will gradually and gently shift your teeth into place, based on the exact movements your dentist or orthodontist plans out for you. There are no metal brackets to attach and no wires to tighten. You just pop in a new set of aligners approximately every two weeks, until treatment is completed. You will achieve a great smile with little interference in your daily life. The best part about the whole process is that most people won't even know you are straightening your teeth.
       
 
   
 
 
 
 

Invisalign videos of step by step (every 2 weeks) progress of the case